# 춘추치과의원의 교정크리닉
CHUNCHU'S ORTHODONTIC CLINIC# BEFORE_AFTER
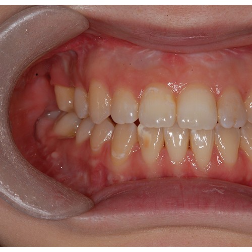
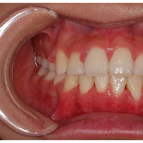
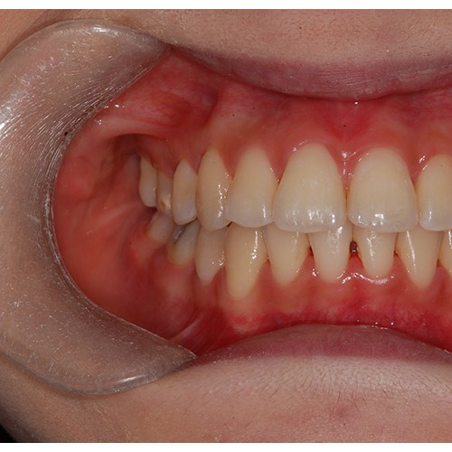
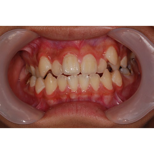
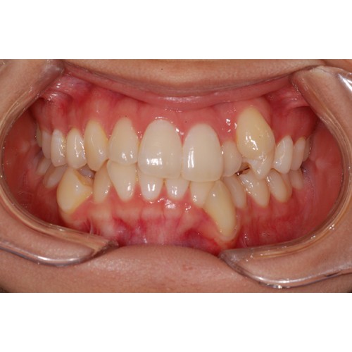
춘추치과교정과를 방문해주신 분들의전후 사진을 확인해보세요.
# INSTARGRAM
Follow us @춘추치과교정과군산시 남수송 3길 43 (수송동 822-8)
투썸플레이스 3층 춘추치과교정과치과의원
- 화, 금요일
- 10:00 ~ 19:00
- 수요일
- 10:00 ~ 20:30
- 목요일
- 14:30 ~ 19:00
- 토요일
- 09:00 ~ 15:30
- 점심시간
- 13:00 ~ 14:30




















